
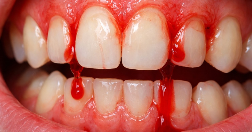
Krwawiące dziąsła – co robić, gdy pojawi się krew?
Krew na szczoteczce, nitce albo w umywalce potrafi przestraszyć – i często pojawia się „nagle”, choć problem zwykle narastał po cichu. Krwawiące dziąsła najczęściej są sygnałem stanu zapalnego. Co ważne, krwawienia nie warto ignorować ani „przeczekać”, bo nieleczony stan zapalny może z czasem przejść w choroby przyzębia i prowadzić do cofania się dziąseł. Co zrobić od razu gdy zaobserwujemy krew? Jak poprawić codzienną higienę zębów? Kiedy domowe działania wystarczą, a kiedy lepiej jak najszybciej skonsultować się z dentystą?
Przyczyny krwawiących dziąseł
Krwawiące dziąsła to czasem wynika z prostych, miejscowych problemów (np. podrażnienia czy nagromadzonej płytki), ale bywa też sygnałem chorób przyzębia lub ogólnoustrojowych niedoborów i zaburzeń krzepnięcia. Najczęstsze przyczyny krwawiących dziąseł to:
1) Zapalenie dziąseł (gingivitis) – zwykle od płytki bakteryjnej i kamienia.
2) Choroba przyzębia (periodontitis) – bardziej zaawansowany stan zapalny z uszkodzeniem tkanek podtrzymujących zęby.
3) Niedokładna higiena i kamień nazębny – krwawienie szczególnie przy linii dziąseł.
4) Zbyt mocne szczotkowanie / twarda szczoteczka – mechaniczne urazy dziąseł.
5) Nieprawidłowa technika nitkowania lub irygacji – podrażnienie brodawek dziąsłowych.
6) Podrażnienia miejscowe – ostre krawędzie wypełnień, źle dopasowane korony/protezy/aparaty, urazy od jedzenia.
7) Palenie tytoniu / e-papierosy – pogarszają stan przyzębia (czasem maskują krwawienie, ale nasilają chorobę).
8) Zmiany hormonalne – ciąża, dojrzewanie, menopauza (większa podatność na zapalenie).
9) Niedobory żywieniowe – szczególnie witamina C, witamina K, czasem żelazo/kwas foliowy (gorsza regeneracja, skłonność do krwawień).
10) Leki wpływające na krzepnięcie lub dziąsła – np. leki przeciwzakrzepowe/przeciwpłytkowe; niektóre leki mogą powodować przerost dziąseł.
11) Infekcje i stany zapalne w jamie ustnej – także w przebiegu obniżonej odporności.
12) Stres i przemęczenie – pośrednio (gorsza odporność, zaniedbania higieny, bruksizm).
13) Suchość w ustach (kserostomia) – mniej śliny = większa podatność na stan zapalny.
Warto pamiętać, że krwawienie dziąseł może być również oznaką innych poważnych chorób takich, jak niedokrwistość, cukrzyca, choroby wątroby, zaburzenia krzepnięcia krwi, ADIS. Stąd długotrwale utrzymujące się krwawienie, niereagujące na podstawowe leczenie powinno być podstawą do bardziej wnikliwych badań zdrowia ogólnego.
Krwawiące dziąsło przy jednym zębie
Krwawienie dziąsła przy jednym zębie najczęściej ma przyczynę miejscową, czyli coś dzieje się dokładnie w tym konkretnym miejscu. Bardzo często winne jest nagromadzenie płytki bakteryjnej lub kamienia w okolicy szyjki zęba albo między zębami, co wywołuje miejscowe zapalenie i krwawienie przy szczotkowaniu. Zdarza się też, że w przestrzeni międzyzębowej utkwi resztka jedzenia lub ciało obce (np. łuska popcornu), które drażni dziąsło i powoduje krwawienie. Krwawienie może też towarzyszyć próchnicy międzyzębowej lub poddziąsłowej, a czasem jest jednym z objawów tworzącej się kieszonki przyzębnej przy tym zębie – wtedy często dochodzi jeszcze nieprzyjemny zapach, metaliczny posmak albo tkliwość.
Krwawiące dziąsło przy jednym zębie może być wywołane urazem mechanicznym np. przez zbyt mocne szczotkowanie jednego miejsca, twarda szczoteczka, agresywne nitkowanie czy „dłubanie” wykałaczką. Jeśli w tym rejonie jest nieszczelne wypełnienie, nawis wypełnienia, źle dopasowana korona albo element aparatu/protezy, może on stale podrażniać dziąsło i jednocześnie utrudniać oczyszczanie, przez co stan zapalny utrzymuje się tylko przy tym zębie. Rzadziej, ale istotnie, przyczyną bywa pęknięcie zęba lub przeciążenie zgryzowe (zaciskanie, zgrzytanie), co może nasilać stan zapalny tkanek wokół zęba i dawać ból przy nagryzaniu.
Krwawiące dziąsła podczas mycia zębów
Krwawienie dziąseł podczas mycia zębów najczęściej wynika z tego, że dziąsła są w stanie zapalnym i łatwo ulegają uszkodzeniu przy szczotkowaniu. Zwykle zaczyna się niewinnie, wzdłuż linii dziąseł gromadzi się płytka bakteryjna, z czasem tworzy się kamień, a tkanki stają się obrzęknięte i „delikatne”, więc przy myciu pojawia się krew. Czasem do krwawienia dokłada się czynnik mechaniczny – zbyt mocne szczotkowanie, twarda szczoteczka albo zła technika, która podrażnia dziąsła, zwłaszcza gdy są już podrażnione. Krwawienie może też pojawiać się, gdy przestrzenie międzyzębowe nie są regularnie doczyszczane i stan zapalny rozwija się właśnie tam. U części osób problem nasila się przez miejscowe utrudnienia w higienie, takie jak nawis wypełnienia, nieszczelna plomba, źle dopasowana korona, aparaty ortodontyczne czy protezy, bo w tych rejonach płytka odkłada się szybciej. Istnieją też sytuacje, w których dziąsła krwawią łatwiej z powodów ogólnych: przy zmianach hormonalnych, w przebiegu cukrzycy, przy niedoborach niektórych witamin (zwłaszcza C i K) albo przy lekach wpływających na krzepnięcie krwi.
Krwawiące dziąsła między zębami
Krwawienie dziąseł dokładnie między zębami najczęściej oznacza, że problem dotyczy przestrzeni międzyzębowych, czyli miejsc, które najłatwiej pominąć podczas codziennego mycia. Najczęstszą przyczyną jest stan zapalny brodawek dziąsłowych spowodowany zaleganiem płytki bakteryjnej i kamienia właśnie między zębami. Dziąsło robi się wtedy obrzęknięte i wrażliwe, więc nawet delikatne szczotkowanie czy nitkowanie powoduje krew. Często krwawienie pojawia się też, gdy ktoś zaczyna dopiero regularnie czyścić przestrzenie międzyzębowe – dziąsła, które wcześniej były objęte przez stan zapalny, mogą krwawić przez kilka dni, zanim stan zapalny zacznie się wyciszać.
Bywa również, że winne jest mechaniczne podrażnienie: zbyt agresywne nitkowanie (wpychanie nitki „na siłę” i szarpanie), używanie wykałaczek, nieodpowiednio dobranych szczoteczek międzyzębowych albo zbyt twardej szczoteczki.
Krwawienie może też towarzyszyć próchnicy międzyzębowej, bo ubytek sprzyja zatrzymywaniu pokarmu i przewlekłemu zapaleniu dziąsła w tej okolicy. Jeśli krwawieniu między zębami towarzyszy przykry zapach z ust, metaliczny posmak, „rozchodzenie się” zębów, cofanie dziąseł albo wrażenie, że jedzenie coraz częściej wpada w te same miejsca, może to sugerować rozwijającą się kieszonkę przyzębną i początek choroby przyzębia.
Krwawiące dziąsła w nocy
Krwawienie dziąseł w nocy najczęściej nie wynika z tego, że łatwiej zauważyć krew (na poduszce, w ślinie po przebudzeniu) albo w nocy dochodzi do nasilenia czynników drażniących. Najczęstszą przyczyną jest stan zapalny dziąseł spowodowany płytką bakteryjną i kamieniem – w zapaleniu dziąsła są obrzęknięte i kruche, więc mogą krwawić nawet przy niewielkim bodźcu. W nocy sprzyja temu suchość w ustach, bo ślina naturalnie wydziela się mniej, a oddychanie przez usta dodatkowo wysusza śluzówkę – suche, podrażnione dziąsła łatwiej pękają i krwawią. Częstym „nocnym” czynnikiem jest też zgrzytanie lub mocne zaciskanie zębów (bruksizm), które przeciąża przyzębie i może nasilać stan zapalny oraz mikrourazy, czasem szczególnie w jednym rejonie.
Krwawiące dziąsła w ciąży
Krwawiące dziąsła w ciąży są bardzo częste i zwykle wynikają z wpływu hormonów (głównie progesteronu i estrogenu) na tkanki jamy ustnej. Dziąsła stają się bardziej ukrwione, „rozpulchnione” i silniej reagują na płytkę bakteryjną, więc nawet niewielkie jej ilości mogą wywoływać stan zapalny i krwawienie przy myciu lub nitkowaniu. Do tego u części osób w ciąży częściej pojawiają się nudności, podjadanie, zmiany diety czy gorsza tolerancja szczotkowania, co sprzyja zaleganiu płytki i nasila problem. Czasem rozwija się tzw. ciążowe zapalenie dziąseł, a rzadziej miejscowy „guzek” na dziąśle, który łatwo krwawi (ziarniniak ciążowy) – wygląda jak miękki, czerwony twór w okolicy jednego zęba i zwykle wymaga oceny stomatologicznej.
Najważniejsze jest to, że krwawienie nie powinno być ignorowane, bo nieleczony stan zapalny dziąseł może przejść w problemy przyzębia. W praktyce pomaga bardzo delikatne, ale dokładne mycie miękką szczoteczką, codzienne oczyszczanie przestrzeni międzyzębowych (nitka lub szczoteczki międzyzębowe dobrane rozmiarem) oraz profesjonalna higienizacja, jeśli jest kamień. W ciąży rutynowe leczenie stomatologiczne i higienizacja są zwykle bezpieczne, a za najbardziej komfortowy okres na planowe zabiegi często uznaje się drugi trymestr.
Do lekarza/dentysty warto iść, gdy krwawienie utrzymuje się mimo delikatnej, regularnej higieny około 7–14 dni, nawraca, albo gdy widzisz dodatkowe objawy sugerujące problem przyzębia lub infekcję. Pilniej (nawet tego samego dnia) skonsultuj się, jeśli krwawienie jest obfite i trudno je zatamować, pojawia się samoistnie bez mycia, lub towarzyszą mu inne krwawienia (np. z nosa), liczne siniaki, osłabienie czy bladość — wtedy oprócz stomatologa może być potrzebna ocena ogólna i ewentualne badania krwi.
Domowe sposoby na krwawiące dziąsła
Domowe sposoby na krwawiące dziąsła mogą być dobrym wsparciem na co dzień, ale nie powinny zastępować diagnostyki i leczenia u dentysty – szczególnie gdy krwawienie nawraca lub trwa dłużej. Jeśli przyczyną jest stan zapalny od płytki bakteryjnej czy kamienia, domowe działania mogą złagodzić objawy i przyspieszyć uspokojenie dziąseł, jednak kluczowe jest usunięcie źródła problemu i poprawa higieny.
W praktyce wiele osób sięga po naturalne płukanki ziołowe, zwłaszcza z rumianku i szałwii, ponieważ mają działanie łagodzące i przeciwzapalne. Taką płukankę przygotowuje się prosto: napar z torebki lub suszu zalewa się wrzątkiem, odstawia do ostygnięcia i płucze jamę ustną kilka razy dziennie, najlepiej po posiłkach. Ważne, by płukanka była letnia (nie gorąca) i by traktować ją jako dodatek, a nie „zamiennik” szczotkowania czy nitkowania. Warto sięgnąć po pasty wzbogaconej w witaminę A i C, które wspierają regenerację dziąseł.
Zadbaj o higienę w sposób, który nie będzie dodatkowo kaleczył dziąseł: używaj miękkiej szczoteczki i myj zęby łagodnymi ruchami przy linii dziąseł (bez „szorowania”), a przestrzenie międzyzębowe czyść codziennie nitką lub szczoteczkami międzyzębowymi dobranymi rozmiarem. Jeśli dziąsła krwawią przy nitkowaniu, nie rezygnuj od razu – przy zapaleniu przez kilka dni może krwawić bardziej, zanim zacznie się goić, ważne tylko, by robić to delikatnie i poprawną techniką.
Duże znaczenie ma też dieta, bo kondycja dziąseł i zębów zależy od tego, co jemy na co dzień. Warto postawić na urozmaicony jadłospis bogaty w składniki wspierające mineralizację i regenerację, takie jak wapń i fosfor, oraz na produkty dostarczające zdrowych tłuszczów, w tym kwasów omega. Dobrze robią też warzywa bogate w błonnik, bo sprzyjają „naturalnemu oczyszczaniu” zębów i stymulują ślinę. Jednocześnie warto ograniczyć częste podjadanie słodyczy i żywności wysoko przetworzonej – nadmiar cukru obniża pH w jamie ustnej, ułatwia namnażanie bakterii i może nasilać problemy z dziąsłami. Podobnie działają słodzone napoje, a także przekąski skrobiowe typu chipsy czy słodkie bułki, które łatwo zalegają na zębach.
Jeśli palisz, jednym z najlepszych „domowych sposobów” dla dziąseł jest po prostu rezygnacja z nałogu. Dym tytoniowy pogarsza ukrwienie tkanek i sprzyja chorobom przyzębia, przez co dziąsła gorzej się regenerują. Warto też zadbać o redukcję stresu – przewlekłe napięcie potrafi osłabiać odporność i ułatwiać rozwój stanów zapalnych, więc regularny odpoczynek, sen i chwile wyciszenia mogą mieć realny wpływ również na zdrowie jamy ustnej.
Gdy krwawieniu towarzyszy suchość w ustach (np. oddychanie przez usta w nocy), pomaga częstsze popijanie wody i nawilżanie jamy ustnej, bo sucha śluzówka łatwiej pęka.
Krwawiące dziąsła – kiedy iść do lekarza?
Jeżeli mimo tych działań krwawienie utrzymuje się około 1–2 tygodni, pojawia się obrzęk, ból, nieprzyjemny zapach z ust, cofanie dziąseł albo krwawienie występuje samoistnie (nie tylko przy myciu), to sygnał, że potrzebna jest kontrola stomatologiczna i najczęściej profesjonalne oczyszczenie z kamienia.
Autor treści

Lek. Jędrzej Gącienica-Ciułacz
Jędrzej Gącienica-Ciułacz to dentysta, który dzięki swojemu serdecznemu podejściu ułatwia wizyty nawet najbardziej lękliwym pacjentom. Jego niezwykła zdolność budowania zaufania i naturalna życzliwość sprawiają, że pacjenci czują się bezpiecznie i komfortowo już od pierwszych chwil w gabinecie. Jest lekarzem, który nie zna pojęcia „przypadku beznadziejnego” — każde wyzwanie traktuje jako okazję do stworzenia pięknego i zdrowego uśmiechu. Łącząc swoją wiedzę medyczną z indywidualnym podejściem do każdego pacjenta, tworzy atmosferę wsparcia i zrozumienia.
Zobacz również
.webp)
Przeszczep dziąsła pod implanty zębów

Pielęgnacja implantów zębów – jak robić to dobrze?

Implanty zębów – od czego zależy cena

Rozpocznij leczenie już dziś!
Umów się na wizytę i przekonaj się, dlaczego nasi pacjenci polecają nas swoim najbliższym. Nasz dentysta jest do Twojej dyspozycji. Zadbamy o Twój uśmiech z najwyższą starannością.
