Zdrowy uśmiech
Metamorfozy Pacjentów
Apolonii
Zobacz, jak nowoczesna stomatologia i indywidualne podejście potrafią odmienić nie tylko uśmiech, ale i pewność siebie.

Siła Metamorfozy
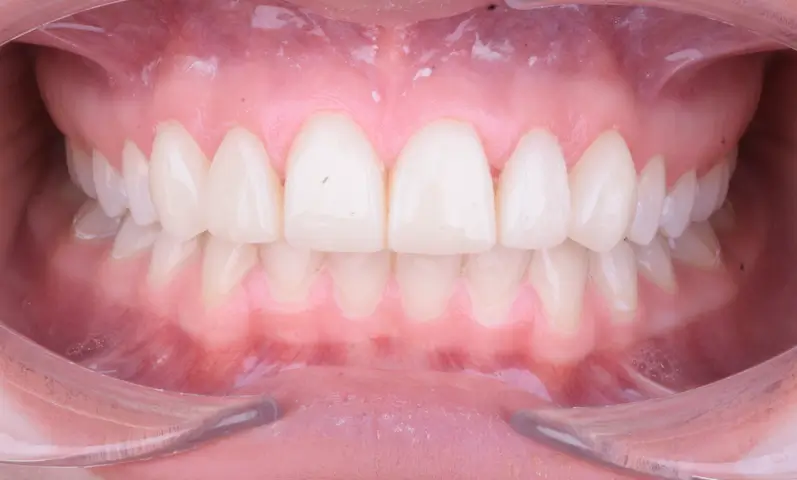
Każdy uśmiech ma swoją historię. Apolonia przyciąga pacjentów z całego świata – z różnymi potrzebami, doświadczeniami i oczekiwaniami. Nie ma dwóch takich samych metamorfoz – wspólne jest jedno: efekt, który przywraca pewność się i radość życia.

Różne potrzeby, jeden cel -
piękny, zdrowy uśmiech
Nasi lekarze


lek. dent. Wojciech Gąsienica-Ciułacz
Procedury chirurgiczne i implantologiczne
lek. dent. Wojciech Gąsienica-Ciułacz
Procedury chirurgiczne i implantologiczne
Lekarz dentysta z 30-letnim doświadczeniem, do każdego pacjenta podchodzi z należytą uwagą i zawsze stara się dopasować metodę leczenia do poszczególnego przypadku.
Wszczepionych implantów


lek. dent. Jan Kempa
Procedury implantologiczne
lek. dent. Jan Kempa
Procedury implantologiczne
Młody, zawsze uśmiechnięty stomatolog z pozytywnym podejściem do pacjentów. Dla niego nie ma przypadków beznadziejnych, a nawet najbardziej strachliwi czują się dobrze pod jego opieką.
Lat na rynku


lek. dent. Jędrzej Gąsienica-Ciułacz
Procedury protetyczne
lek. dent. Jędrzej Gąsienica-Ciułacz
Procedury protetyczne
Absolwent najlepszych uczelni stomatologicznych w Europie. Codzienną praktykę bazuje na wyjątkowym doświadczeniu, używając najnowsze technologie do diagnostyki i planowania leczenia.
Zabiegów All-on-X
Zobacz video
Zobacz wideo, w którym dr Jędrzej Gąsienica-Ciułacz opowiada o etapach zabiegu i efektach metamorfozy! W naszym gabinecie wykorzystujemy m.in. rentgen 3D, który pozwala na precyzyjną analizę uśmiechu i indywidualne dopasowanie leczenia.
Najczęstsze Pytania
Zrób pierwszy krok do swojego nowego uśmiechu







































